PRESENTACIÓN CLÍNICA
Hombre de 39 años con antecedente de fibrosis retroperitoneal.
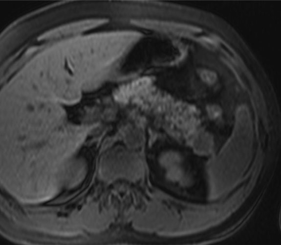
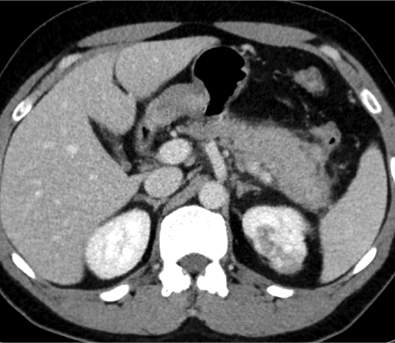
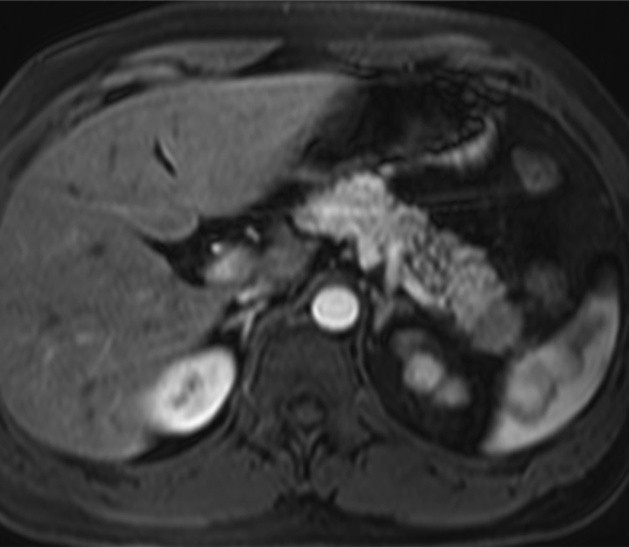
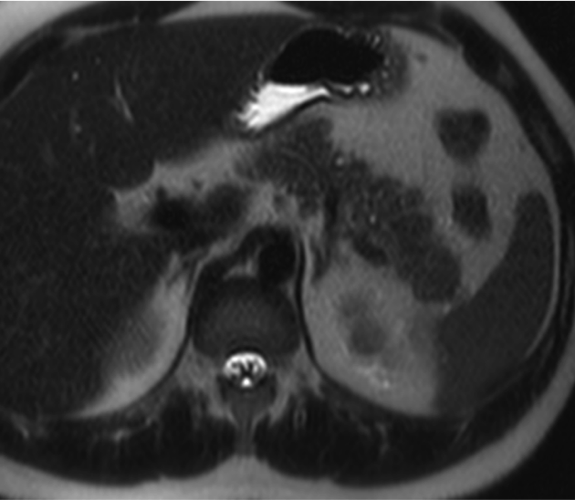
Se solicita TC porque en RM externa realizada para control de la fibrosis retroperitoneal se informa de sospecha de neoplasia de cola de páncreas.
1. Si se solicita al paciente analítica sanguínea, ¿qué parámetro piensas que estará elevado?
- A. Inmunoglobulina G4.
- B. Antígenos carcinoembrionario y polipeptídico tisular.
- C. Hidrato de carbono 19,9 e hidrato de carbono 50.
- D. Alfa-1-antitripsina, alfa-2-macroglobulina y ceruloplasmina.
- E. Ninguno de los anteriores.
2. ¿Cuál es el siguiente paso que consideras necesario?
- A. Completar estudio con PET-TC.
- B. Repetir estudio de RM pancreática.
- C. Biopsia guiada por TC o US de la lesión pancreática.
- D. Biopsia quirúrgica de la lesión pancreática.
- E. Instaurar tratamiento corticoideo sin biopsia previa.
3. ¿Cuál es tu diagnóstico?
- A. Tumor pseudopapilar sólido pancreático con metástasis renales izquierdas.
- B. Linfoma pancreático -forma localizada- y lesiones atróficas renales izquierdas secundarias a fibrosis retroperitoneal.
- C. Lesión metastásica en páncreas de tumor primario renal.
- D. Pancreatitis autoinmune en contexto de enfermedad relacionada con la IgG4.
- E. Sarcoidosis con afectación pancreática y renal.
Este formulario ya no admite respuestas.
