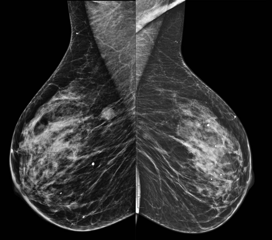
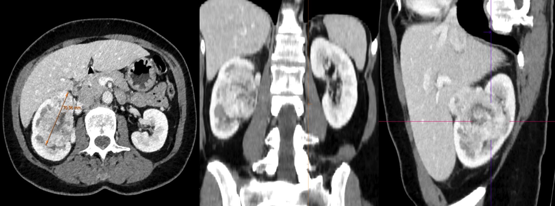
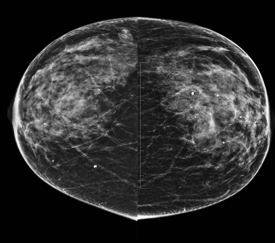
- Mujer de 53 años, que refiere dolor en hemiabdomen derecho de meses de evolución sin otra sintomatología.
- No presenta clínica mamaria.
- Control previo en el PPDCMA (Programa de Prevención del Cáncer de Mama en Aragón) en 2019 normal. Control actual en las imágenes.
Se realizó BAG de mama con diagnóstico AP de neoformación de bajo grado citológico, de hábito epitelioide, con cambio de célula clara, con morfología e inmunofenotipo compatible con carcinoma en el material remitido.
Perfil inmunohistoquímico ampliado: expresión en las células epiteliales atípicas para RCC, CD10 (clon 56C6) (inmunotinción intensa) y PAX 8 (tinción nuclear); con negatividad para CK-7 (clon OV-TL12/30), HER 2, HMB45 (clon HMB45), Melan A (clon A103) y Actina (clon 1A4) (remarca la red vascular sinusoidal).
- A. BI-RADS 0. Hay que completar estudio con RM con contraste.
- B. BI-RADS 1. No hay que hacer nada porque el nódulo tiene aspecto benigno.
- C. BI-RADS 4. Haremos biopsia con aguja gruesa (BAG) del nódulo.
- D. BI-RADS 2. Haremos punción con aguja fina (PAAF) del nódulo.
- E- BI-RADS 3. Control con ecografia mamaria en 6 meses.
- A. Realizaría una BAV con ecografía para quitar la lesión del todo.
- B. Realizaría una TC toracoabdominopélvica con contraste.
- C. Pediría una gammagrafía ósea.
- D- Realizaría una RM de hombro.
- E. Mandaría a la paciente a ginecología para realizar cuadrantectomía.
- A. Tumoración primaria de mama con metástasis suprarrenales.
- B. Metástasis mamaria de carcinoma renal de células claras.
- C. Fibroadenoma y carcinoma renal de células claras.
- D. Tumoración primaria de mama con metástasis renal.
- E. Tumoración primaria de mama con diseminación ganglionar.
Este formulario ya no admite respuestas.
