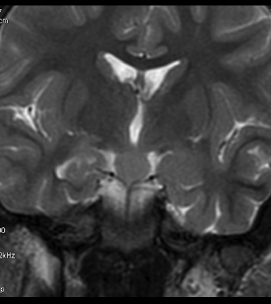
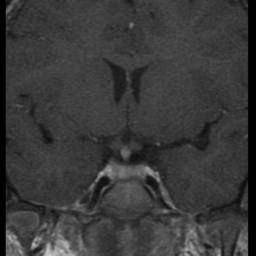
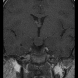
PRESENTACIÓN CLÍNICA
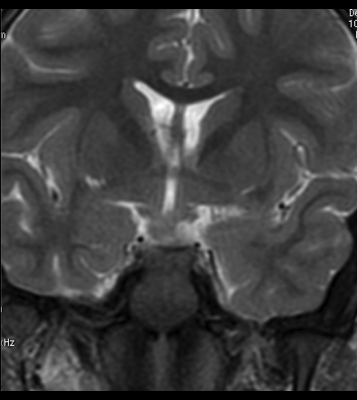
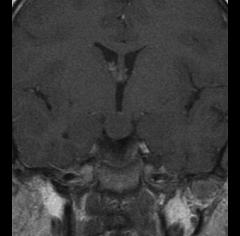
Niña de 7 años. Se solicita RM hipofisaria por pubertad precoz.
T1 + Gadolinio
1. ¿Cuál es tu diagnóstico?
- A. Glioma hipotalámico.
- B. Histiocitosis X.
- C. Hamartoma hipotalámico.
- D. Craneofaringioma.
- E. Germinoma hipotalámico.
2.- Este tipo de lesión puede producir unas crisis epilépticas características, ¿sabes su nombre? (piensa en Joker)
- A. Crisis hiperquinéticas.
- B. Crisis gelásticas.
- C. Síndrome de West.
- D. Crisis focales tónico-clónicas.
- E. Síndrome de Panayiotopoulus.
3.- ¿Cuál es el tratamiento más adecuado de este tipo de lesiones?
- A. Siempre quirúrgico.
- B. Simplemente seguimiento radiológico.
- C. Tratamiento farmacológico de las manifestaciones clínicas.
- D. Quirúrgico si las crisis epilépticas son refractarias al tratamiento farmacológico.
- E. C y D son correctas.
Este formulario ya no admite respuestas.
