PRESENTACIÓN CLÍNICA
Mujer de 67 años con antecedentes personales de carcinoma ductal infiltrante de mama derecha (pT2 pN1a estadio IIB), tratado con cirugía conservadora + QT + RT + HT hace 6 años.
Último control mamográfico hace 4 meses estable.
Actualmente consulta por induración de la mama derecha (MD) con lesiones cutáneas eritemato-violáceas.
1. ¿Cuál sería tu informe radiológico de la mamografía y ecografía y qué recomendarías?
- A. Estudio dentro de la normalidad (BI RADS 1). Controles habituales.
- B. Cambios morfológicos en MD en relación con sus antecedentes, estable con respecto a control previo (BI RADS 2). Control anual.
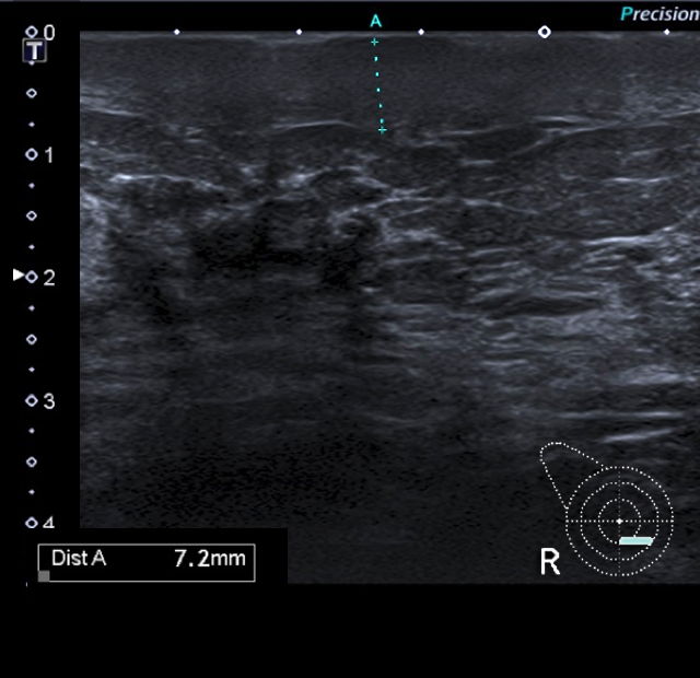
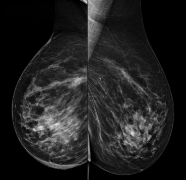
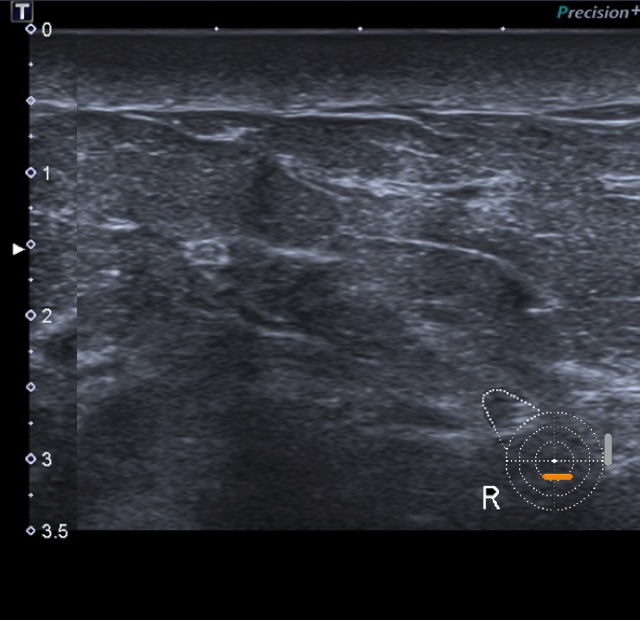
- C. Cambios morfológicos en MD en relación con sus antecedentes, con engrosamiento cutáneo en cuadrantes inferiores (CCII) de MD (BI RADS 3). Control mamográfico y ecográfico en 6 meses.
- D. Cambios morfológicos en MD en relación con sus antecedentes, con engrosamiento cutáneo en CCII de MD de nueva aparición (BI RADS 4). Se recomienda biopsia cutánea (punch).
- E. Distorsión espiculada con microcalcificaciones en plano posterior de cuadrantes superiores (CCSS) de MD sospechosa de malignidad (BI RADS 5). Se recomienda biopsia con aguja gruesa (BAG).
2. Describe los hallazgos por RM:
- A. Cambios en MD en relación con cuadrantectomía previa sin realces sospechosos.
- B. Cambios posquirúrgicos en MD con realce tipo no masa en región retroareolar con curvas funcionales inespecíficas (tipo 1).
- C. Engrosamiento cutáneo en CCII de MD con realce heterogéneo nodular asociado a un realce tipo no masa retroareolar con curvas funcionales sospechosas (tipo 2).
- D. Engrosamiento cutáneo y retracción de complejo areola pezón (CAP) de MD con múltiples realces nodulares retroareolares de distribución ductal con curvas funcionales inespecíficas (tipo 1).
- E. Engrosamiento cutáneo post-radioterapia en MD sin otros hallazgos sospechosos.
3. ¿Qué diagnóstico de entre los siguientes es el más probable?
- A. Enfermedad de Paget del pezón de MD.
- B. Angiosarcoma de MD.
- C. Recidiva local de carcinoma de MD.
- D. Papilomatosis múltiple de MD.
- E. Cambios morfológicos y post-radioterapia de MD.
Este formulario ya no admite respuestas.
