PRESENTACIÓN CLÍNICA
Varón de 53 años de edad en seguimiento por claudicación gemelar izquierda en largas distancias.
Ingreso en urgencias por dolor gemelar izquierdo de varios días de evolución.
En la exploración: empastamiento y dolor gemelar izquierdo.
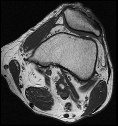
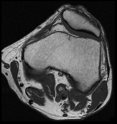
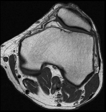
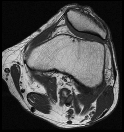
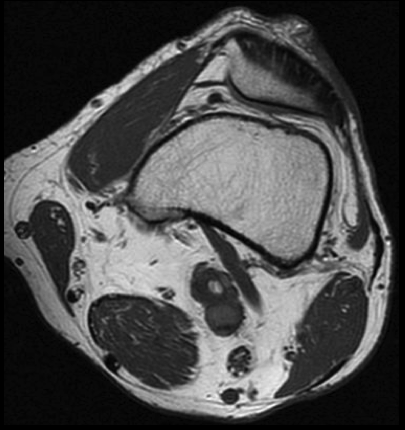
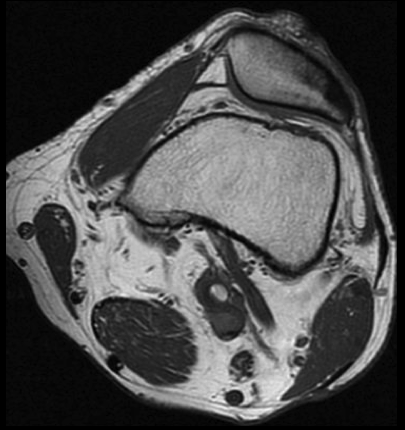
SE T1 AXIAL
1. Al paciente se le realizó angioTC de extremidades inferiores. ¿Cuál es el hallazgo más relevante que se observa en las reconstrucciones 3DVR y MIP de dicha exploración?
- A. Obstrucción de arteria poplítea izquierda.
- B. Estenosis de arteria poplítea izquierda.
- C. Aneurisma de arteria poplítea izquierda.
- D. Obstrucción de arteria femoral superficial izquierda.
- E. Disección de arteria poplítea izquierda.
2. Tras analizar los cortes en planos axial y coronal, ¿cuál crees que es la causa de la obstrucción de la arteria poplítea izquierda?
- A. Ateroesclerosis.
- B. Enfermedad quística adventicial.
- C. Síndrome de atrapamiento poplíteo.
- D. Aneurisma trombosado.
- E. Enfermedad de Berger.
3. Para confirmar los hallazgos de la angioTC de extremidades inferiores, se realizó RM de rodilla izquierda. ¿Qué hallazgo se observa en la secuencia axial SE T1?
- A. Aneurisma poplíteo trombosado.
- B. Quiste adventicial en la pared de la arteria poplítea.
- C. Banda muscular anómala rodeando a la arteria poplítea.
- D. Exóstosis de tibia comprimiendo la arteria poplítea.
- E. Flap intimal intraluminal.
Este formulario ya no admite respuestas.
