PRESENTACIÓN CLÍNICA
Paciente de 40 años que acude a urgencias por dolor abdominal en mesogastrio y en flancos de inicio esa misma mañana.
- No asocia fiebre, nauseas ni vómitos.
- Tampoco diarreas, coluria, acolia ni disuria.
EXPLORACIÓN:
- Defensa voluntaria.
- Doloroso a la palpación en mesogastrio y epigastrio sin signos de irritación peritoneal.
- No se palpan masas ni megalias.
- Peristaltismo conservado y no aumentado.
- AST 66, ALT 58, GGT 106, LDH 264, Lactato 2,6.
- 13300 Leucocitos con 86% de Neutrófilos.
- Fibrinógeno 478.
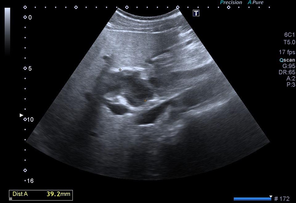
1. ¿Cuál de los siguientes hallazgos NO se encuentra en las imágenes ecográficas?
- A. Lesión hipoecoica que engloba la arteria hepática.
- B. Lesión hipoecoica que contacta con la cabeza pancreática.
- C. Dilatación del colédoco y del Wirsung.
- D. Permeabilidad de arteria hepática.
- E. Permeabilidad de la porta.
2. ¿Cuál es el hallazgo radiológico principal de la TC?
- A. Neoplasia de cabeza pancreática con infiltración de la arteria hepática.
- B. Neoplasia de vía biliar extrahepática con infiltración de la arteria hepática.
- C. Colección abscesificada en hilio hepático que engloba estructuras vasculares.
- D. Conglomerado adenopático metastásico en hilio hepático que engloba estructuras vasculares.
- E. Pseudoaneurisma trombosado de la arteria hepática secundario a disección del tronco celiaco.
3. ¿Existe afectación de algún otro vaso?
- A. No.
- B. Sí, de la porta.
- C. Sí, de la cava inferior.
- D. Sí, de la arteria mesentérica superior.
- E. Sí, de la arteria renal derecha.
Este formulario ya no admite respuestas.
