Mujer de 69 años procedente de Barcelona con HTA y dislipemia, sin otros antecedentes de interés. Derivada a urgencias desde su centro de salud por dolor epigástrico irradiado a región centrotorácica de inicio a las 10-11 h. de la mañana, acompañado de mareo y cuadro vagal (naúseas y vómitos).
En ECG realizado en su centro de salud se objetiva elevación del segmento ST en derivaciones inferiores, motivo por el que se administra doble antiagregación y se activa Código Infarto para realización de coronariografía emergente. Marcadores de daño miocárdico pico de 1840 ng/dl.
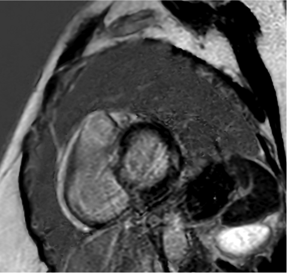
El resultado de la coronariografía fue: arterias coronarias sin lesiones. Depresión moderada-grave de la FEVI por extensa discinesia de los segmentos medio-apicales. Se completa estudio con ecocardiografía y RM cardiaca.
- A. Realce subendocárdico.
- B. Realce subepicárdico.
- C. No hay realce, es un artefacto.
- D. Realce intramiocárdico.
- E. Realce transmural.
- A. Señala edema miocárdico.
- B. Es normal en valores superiores a 100 ms.
- C. No tiene gran utilidad.
- D. Sirve para sustituir una secuencia cine.
- E. Precisa de la administración de contraste.
- A. Cardiopatía isquémica multivaso.
- B. Afectación miocárdica como síndrome post-Covid.
- C. No tiene diagnóstico.
- D. Síndrome de Tako Tsubo con realce tardío típico.
- E. Miocardiopatía de estrés con realce tardío no típico.
Este formulario ya no admite respuestas.
