PRESENTACIÓN CLÍNICA
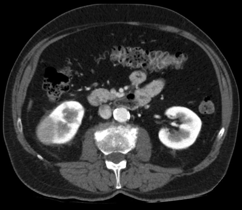
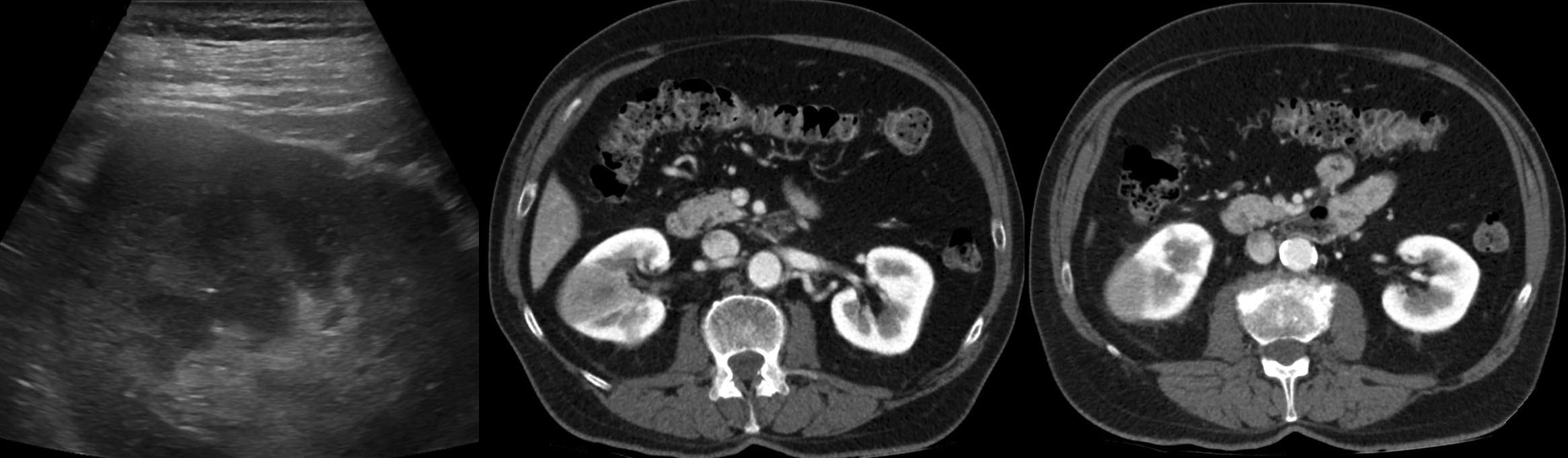
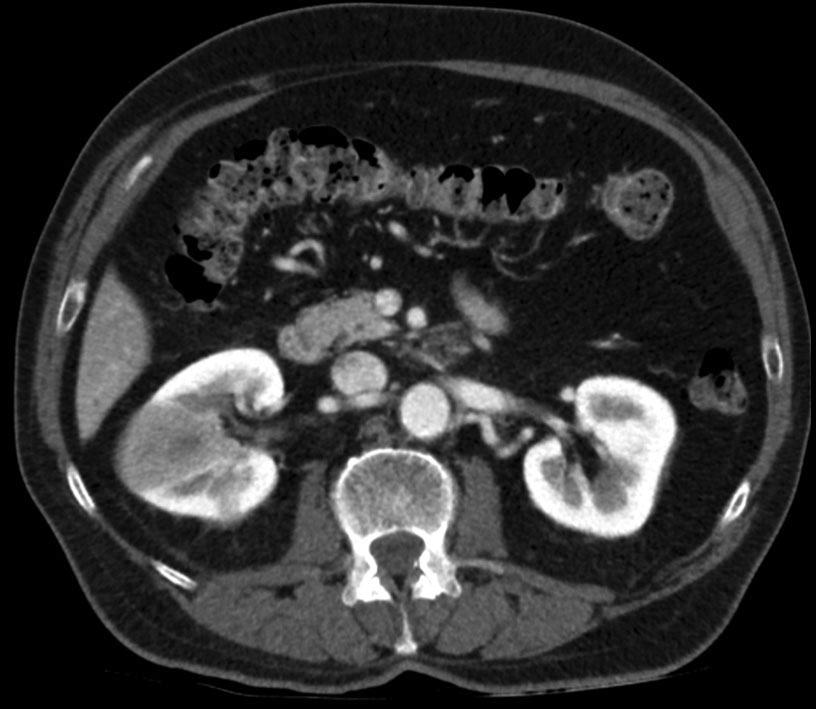
Varón de 74 años asintomático, con antecedente de resección transuretral por tumor vesical de alto riesgo (pT1G3), sin evidencia de enfermedad a distancia, actualmente en tratamiento con instilaciones.
Eco y TC abdominal de control.
1. ¿Cuál de las siguientes opciones habría que destacar en el diagnóstico diferencial, dada su importancia en el manejo del paciente?
- A. Linfoma.
- B. Metástasis de carcinoma urotelial.
- C. Infartos renales.
- D. Granulomatosis.
- E. Neoplasia renal primaria multifocal.
2. ¿Qué opción es mejor si se considera necesario confirmar el diagnóstico?
- A. Arteriografía renal.
- B. Biopsia guiada por ecografía.
- C. RM.
- D. Biopsia quirúrgica.
- E. PET-TC.
3. ¿Cuál sería la actitud MENOS adecuada en el manejo de este paciente?
- A. Cese del tratamiento con instilaciones.
- B. Cistoscopia de control cada 3 meses.
- C. Nefrectomía derecha.
- D. Tratamiento farmacológico.
- E. Seguimiento de las lesiones renales mediante pruebas de imagen.
Este formulario ya no admite respuestas.
