PRESENTACIÓN CLÍNICA
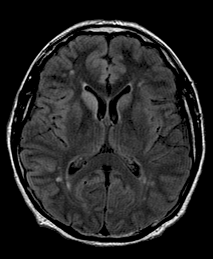
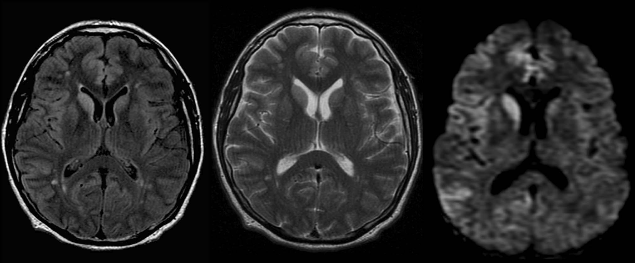
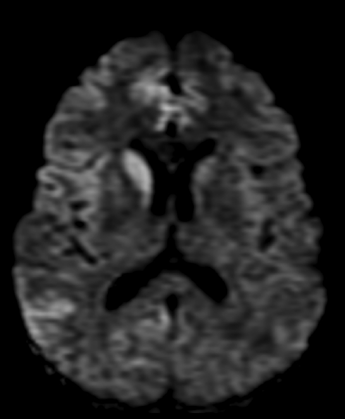
Paciente de 48 años con demencia rápidamente progresiva.
1. ¿Cuál es tu diagnóstico?
- A. Vasculitis autoinmune, con lesiones isquémicas en ganglios basales agudas concomitantes con otras lagunas isquémicas subaguda y crónicas, sugestivo de vasculitis.
- B. Síndrome de Leigh con alteración de señal en ganglios basales .
- C. Síndrome de desmielinización osmótica con alteración de señal en caudado y putamen.
- D. Enfermedad de Creutzfeldt-Jacob con alteración de señal asimétrica en núcleo caudado y cortical frontotemporal.
- E. Linfoma, con infiltración en ganglios basales.
2. Si sólo pudieras realizar una secuencia de RM, ¿cuál utilizarías en caso de sospecha de esta enfermedad?
- A. T1 con contraste intravenoso.
- B. FLAIR.
- C. DW-EPI.
- D. T2.
- E. RM espectroscopia.
3. ¿Cuál sería el siguiente paso diagnóstico?
- A. Realizar RM espectroscopia, por su alta especificidad para el diagnóstico de esta patología.
- B. Punción lumbar y estudio de proteína 14-3-3 en líquido cefalorraquídeo.
- C. Biopsia cerebral.
- D. SPECT cerebral.
- E. No hace falta hacer más pruebas diagnósticas, los hallazgos de la RM son patognomónicos de la enfermedad.
Este formulario ya no admite respuestas.
